O femeie de 25 de ani din Australia a descoperit că are larve de tenie în creier, după o durerea de cap care a durat mai mult de o săptămână.
Durerile au fost cauzate de larvele de vierme care ocupaseră spațiu în creierul ei, potrivit unui nou studiu asupra cazului publicat de The American Journal of Tropical Medicine and Hygiene și citat de CNN.
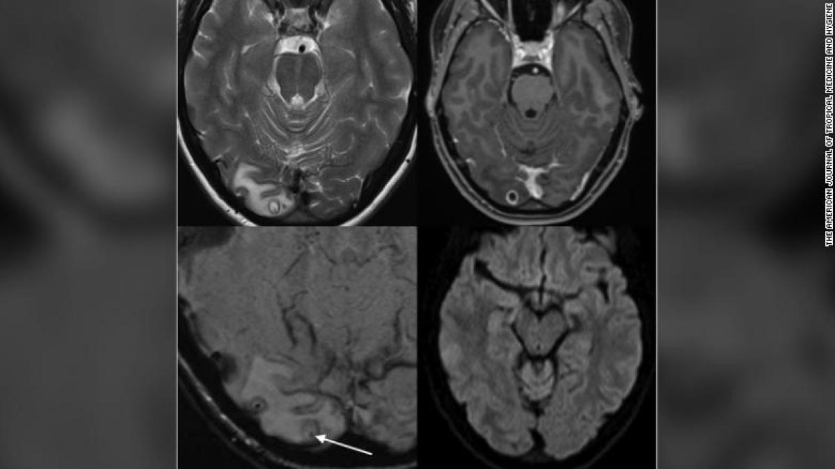
Femeia, care nu a călătorit niciodată în străinătate, este primul caz al acestei boli din Australia, se arată în studiu. În ultimii șapte ani, femeia s-a plâns de dureri de cap care apăreau de două sau de trei ori pe lună și de fiecare dată se prescriau medicamente pentru migrenă. Cu toate acestea, ultimul episod de nevralgie a durat mai mult de o săptămână și a prezentat simptome mai severe, precum estomparea vederii.
Medicii au supus-o unui examen RMN și au crezut că au de-a face cu o tumoră, dar după ce au operat și îndepărtat leziunea, au descoperit că este de fapt un chist plin de larve de tenie. După îndepărtarea chistului nu a mai fost nevoie de niciun tratament.
Cum au ajuns ouăle de tenie în creierul femeii?
Această afecțiune este cunoscută sub numele de neurocisticercoză, care poate provoca simptome neurologice atunci când se dezvoltă chisturi larvare în creier. Persoanele care suferă de infecția parazitară fac acest lucru prin înghițirea ouălor găsite în fecalele unei persoane care are tenie intestinală, potrivit Centrului SUA pentru Controlul și Prevenirea Bolilor (CDC).
Boala este mortală și este o cauză principală a apariției epilepsiei adulților la nivel mondial, potrivit CDC. Femeia, care lucra ca barista, era considerată a avea un risc foarte mic sau foarte scăzut de infectare cu larve de tenie, dar se crede că a ingerat cumva accidental ouă de tenie eliberate de la un purtător.
Teniile se stabilesc de obicei în intestinele umane, iar unele pot trece de la sine fără medicamente. Parazitul se transmite în mod obișnuit atunci când oamenii consumă carne de porc puțin gătită, sau vin în contact cu alimente, apă și sol contaminate cu ouă de tenie.
Fiți la curent cu ultimele noutăți. Urmăriți StiriDiaspora și pe Google News

