Încă o localitate din România intra în CARANTINĂ. "Se intră și se iese doar prin filtrele de poliție"
Caz REVOLTĂTOR la Craiova: O infirmieră a așteptat 4 zile o ambulanță să-i recolteze probe pentru testul COVID
Patriarhia cere ridicarea "măsurii excesive" de INTERZICERE a pelerinajului de la Iași 09 Octombrie 2020
Mihai Chirica s-a infectat cu virusul SARS CoV-2. Primarul Iașiului a făcut anunțul pe Facebook 09 Octombrie 2020
OMS: Cea mai mare creștere a infectărilor în 24 de ore. CNN avertizează cu privire la situația României 09 Octombrie 2020
Virgil Musta: „Acum putem considera că orice cunoscut sau prieten cu care ne întâlnim este infectat” 09 Octombrie 2020
Virusolog din Spania profețește: „Pregătiți-vă pentru 2 ANI de purtat MASCĂ de protecție. Va fi un maraton” 09 Octombrie 2020
Madridul a intrat în STARE DE ALERTĂ. Se revine la RESTRICȚII. Sanchez: „Trebuie să protejăm sănătatea publică ACUM” 09 Octombrie 2020
Bilanț coronavirus Diaspora, 09 octombrie: Crește numărul românilor infectați în Elveția 09 Octombrie 2020
Îngrijitoarele și bonele, EXCEPTATE de la carantină la întoarcerea în România. Decizie luată în urmă cu scurt timp 08 Octombrie 2020
SCANDALUL polițiștilor în civil ia amploare: Avocatul Poporului îi cere explicații lui Marcel Vela 08 Octombrie 2020
Coronavirus, 8 octombrie. România a DEPĂȘIT pragul de 3.000 de cazuri. RECORD SUMBRU! 08 Octombrie 2020
Raed Arafat, semnal de alarmă: Localități CARANTINATE. „Vom fi puși la grea încercare!“ 08 Octombrie 2020
Tratamentul de COVID folosit de Donald Trump, testat şi în România. Medicamentele stau nefolosite de două luni într-un spital românesc 07 Octombrie 2020
Doi angajați ai Ministerului Afacerilor Externe au COVID-19, unul dintre ei este diplomat la Viena 07 Octombrie 2020
Peste 7.000 de posturi de medici rezidenți au fost scoase la concurs. Înscrierile încep joi 07 Octombrie 2020
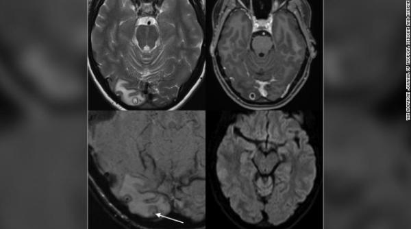
Caz demn de Dr. House: Suferea de migrene groaznice. La RMN s-a văzut că avea VIERMI în CREIER 07 Octombrie 2020
Bilanț coronavirus România, 07 octombrie: RECORD ABSOLUT: aproximativ 3.000 de infectați și 82 decese, în 24 ore 07 Octombrie 2020
Virgil Musta: „Dacă azi se iau măsuri foarte eficiente, rezultatul va fi peste două săptămâni” 07 Octombrie 2020
Deficit de Remdesivir în Europa. Oficial al Ministerului Sănătăţii din Olanda: "Medicamentul s-a epuizat" 07 Octombrie 2020
Sindicaliștii de la Sanitas, în grevă japoneză: Salariații sunt epuizați fizic și psihic 07 Octombrie 2020
În martie, a fost înregistrat ca pacientul cu numărul 102 în România. În 4 octombrie a trăit un șoc 07 Octombrie 2020