Dr. Krilovici, care a profesat peste 20 de ani în Germania, subliniază: „Materialele și aparatura disponibile în România sunt la același nivel cu cele din Germania. Diferența o face omul din spatele lor, experiența, atenția la detalii și cât de mult investește în perfecționare continuă. Un medic care nu se formează riscă să nu folosească tehnologia la potențial maxim.”
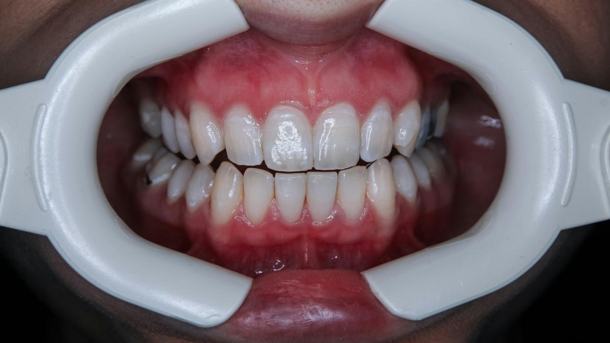
Amalia Năstase completează din experiența ei: „Am văzut multe lucrări făcute corect în România. După ce am lucrat cu Dr. Krilovici, am înțeles că nu contează doar aparatura, ci și priceperea medicului. Chiar dacă materialele sunt aceleași, fără experiență rezultatul nu e la fel.”
„Costurile sunt semnificativ mai mici decât în Germania”
Pentru românii din diaspora, un alt avantaj este economic: „Tratamentul dentar în România e mai convenabil. Chiar și față de Polonia sau Ungaria, în România prețurile sunt mai bune”, spune Amalia.
Dr. Krilovici adaugă: „Nu doar că e mai accesibil financiar, dar tratamentele pot fi realizate cu aceleași standarde europene de calitate. Mulți pacienți care lucrează în străinătate vin vara să-și rezolve problemele dentare acasă, la un medic de încredere.”
Turism dentar și responsabilitate profesională
Val Vălcu, moderatorul emisiunii, ridică problema turismului dentar: „Există pacienți care pleacă în Ungaria sau Polonia pentru tratamente mai ieftine. Dar dacă apar probleme ulterioare, responsabilitatea și urmărirea medicală devin complicate.”
Dr. Krilovici confirmă: „Dacă faci lucrarea în altă țară și apare o problemă, poate fi greu de gestionat. De aceea, pentru românii din diaspora, soluția ideală e să vină acasă, să meargă la un medic care le cunoaște istoricul și poate asigura continuitate.”
Amalia adaugă anecdotic: „Când am început reconstrucția dinților, am vrut să știu că lucrările vor rezista și că medicul știe ce face. În România, am găsit tot ce e nevoie pentru tratamente moderne, sigure și durabile.”
„Recomandarea pentru românii din diaspora”
Concluzia ambilor invitați este clară:
- România oferă tehnologie, materiale și standarde de top;
- Diferența o face experiența medicului;
- Costurile mai mici fac ca tratamentele să fie avantajoase și sigure;
Continuitatea și responsabilitatea medicului sunt esențiale, mai ales pentru cei care locuiesc în străinătate.
„Dacă vrei să ai dinți sănătoși și estetici, nu doar pentru poză, e important să alegi un medic bun și să nu te grăbești. România poate oferi asta, chiar și pentru cei din diaspora”, încheie Amalia Năstase.
Fiți la curent cu ultimele noutăți. Urmăriți StiriDiaspora și pe Google News


